Ästhetische Zahnmedizin (ausgez. Top-Mediziner 2025 und 2026)

Schöne Zähne, Ästhetik & Funktion sind unsere Mission.

Hochwertiger Zahnersatz — natürlich aussehende Prothetik
Kunststofffüllungen — Keramikinlays — Veneers — Keramikkronen

Ihre zertifizierten Spezialisten für Ästhetische Zahnmedizin

 

Schön und gesund in jedem Alter

Spezialisten

Sichtbare Zeichen des Älterwerdens, wie Falten oder erschlaffte Gesichtshaut, aber auch verfärbte, unschöne und zerbrochene Zähne, stehen oft im Widerspruch zum empfundenen Alter. Diese körperlichen Auffälligkeiten im Gesicht, beim Lachen und beim Essen können das Selbstvertrauen sehr beeinträchtigen. Um dem Gesicht und dem Mund wieder ein jüngeres Aussehen zu verleihen, gibt es einige sehr effektive Methoden in unserer Ästhetischen Zahnmedizin, die die natürliche, jugendliche Ausstrahlung wiederherstellen und hervorheben. Ein attraktives selbstbewusstes Lächeln öffnet Türen — beruflich und privat.

Ästhetik ist kein Privileg der Jugend

Wir zeigen Ihnen, was heutzutage alles möglich ist. Das gilt für alle Patienten, die für sich individuell ohne Kompromisse die Erhaltung, Wiederherstellung oder Verbesserung ihrer Zähne und Funktion wünschen. Für eine positive Ausstrahlung und ein attraktives Lachen in jedem Alter.

Digitale 3D-Prothetik

Kein gewöhnlicher Zahnersatz — sondern “neue schöne Zähne”!

“Made in Germany”

Diamond

Wir machen Lust auf schöne Zähne: Ästhetik steht für Natürlichkeit & Schönheit. Strahlende Zähne tragen zu einem guten Lebensgefühl bei und sind heutzutage ein “Must-Have”. Die Hollywoodstars haben die ästhetische Zahnmedizin bekannt gemacht. Ein selbstbewusstes Lächeln öffnet Türen bei Arbeit und Freizeit. Die moderne Ästhetische Zahnheilkunde bietet sehr gute Mittel, um dieses Ziel der optimalen High-End-Ästhetik zu erreichen. Perfekte Zähne und Ästhetik sind unsere Mission.

Digitale Zahnmedizin:

  • Lasermelting, Taktiles Scannen, High-End-Fräsen
  • Technische Innovationen für höchste Präzision bei 3-D-Prothetik und Zahnersatz und/mit Computergestützter Implantologie
  • IntraoralScan, 3D-Röntgen
  • CAD/CAM-Prothetik-Versorgung
  • GesichtsScan, 3-D-Abformung, 3-D-Kieferrelationsbestimmung, bzw. Kieferbewegungen.

High-End-Zahnmedizin — Ihr Anspruch ist unser Ansporn

Ästhetik für Anspruchsvolle nach dem Vorbild der Natur: (Top-Mediziner 2025)

High-End-Zahnmedizin
Ist bereits ein Zahnschaden, Zahnschmerz oder gar Zahnverlust eingetreten, ist es unser größtes Ziel als Fachpraxis für Ästhetische Zahnheilkunde, die Zahn- und Mundgesundheit mithilfe biologisch unbedenklicher Materialien und neuen innovativen Therapiekonzepten wiederherzustellen. Unser Focus liegt dabei nicht nur auf Ihren Zähnen, sondern auf Ihrem ganzen Gesicht und Ihrer Persönlichkeit. Perfekte Zähne, die nicht “gemacht” aussehen. Es gibt heutzutage sehr gute Möglichkeiten durch die Kombination von Funktionstherapie und ästhetischer Zahnmedizin das Kausystem möglichst minimalinvasiv vollständig wiederherzustellen. Bio-Ästhetik steht für Natürlichkeit, Gesundheit und Schönheit. Gesunde, weiße Zähne geben Lebensfreude und Energie und zaubern Ihnen Glanz in Ihr Lächeln. Bio – logisch!

Unschlagbar & unsichtbar:

Ob lückig stehende Zähne, Verfärbungen, unbefriedigende Zahnformen oder geringfügige Fehlstellungen. Mit Hilfe von hochwertigen, direkt eingebrachten unsichtbaren, zahnfarbenen Kunststofffüllungen, kosmetischen Frontzahn-Korrekturen, oder sehr langlebigen, hauchdünnen Keramikschalen (Veneers) lassen sich diese ästhetischen Probleme verbessern. Ein weiterer Leistungsschwerpunkt unserer Fachpraxis für Ästhetische Zahnheilkunde liegt auf der ästhetischen und funktionell perfekten Prothetik.

Unser breites Behandlungsspektrum deckt alles von Keramik-Inlays über Kronen und Brücken bis zum Zahnersatz verschiedener Art ab. Effektive Zahnkorrekturen mit Hochleistungskeramik sind heute dank langjähriger Forschung und modernster Verfahren in der Ästhetischen Zahnheilkunde immer möglich und absolut bioverträglich. Wir können sogar kostenbewussten Patienten durch eingespielte Abläufe bezahlbaren Zahnersatz höchster Qualität anbieten.

Wir beraten – Sie entscheiden.

Ästhetik für Anspruchsvolle:

Ästhetik für AnspruchsvolleZur Ästhetischen Zahnmedizin gehören nicht nur schöne, gesunde Zähne, sondern auch gesundes Zahnfleisch und die funktionelle Harmonie von oberen und unteren Zahnreihen. Wir sprechen von „roter“ und „weißer“ Zahnästhetik – A Beautyful Smile. Weiße, natürliche Zähne sind von gesundem, rosarotem Zahnfleisch umschlossen. Besonders wichtig ist die Wiederherstellung der roten Ästhetik für die Frontzähne im Oberkiefer, denn hier sind sie beim Lachen und Sprechen gut sichtbar.

Ästhetisch-funktionelle Rehabilitation und Sanierung nach dem Vorbild der Natur:

Die größte und wichtigste Herausforderung für den Spezialisten der Zahnästhetik ist die Wiederherstellung von natürlich schöner Ästhetik und Funktion der Zähne. Rein kosmetische Lösungen dienen dem Patienten häufig nicht. Er braucht eine Therapiestrategie, die die Wiederherstellung einer ungestörten Funktion, das heißt eine harmonische Okklusion der Zähne von Ober- und Unterkiefer ermöglichen. Für den richtigen Biß sind Ästhetik und Funktion damit untrennbar verbunden. Unser Focus liegt dabei auch nicht nur auf Ihren Zähnen, sondern auf Ihrem ganzen Gesicht und Ihrer Persönlichkeit.

Die beste Ästhetik für Ihren Zahnersatz

Natürlich gut aussehen:

Zahnersatz
Ist sehr viel Zahnsubstanz zerstört und die Behandlung komplex, fällt dies in den Fachbereich der rekonstruktiven Zahnmedizin. Mit Kronen, Brücken, Teil- und Vollprothesen ersetzen die rekonstruktiv tätigen Fachzahnärzte Zähne und Zahnreihen ganz oder teilweise. Dank neuen Materialien und Techniken ist es den Experten heute möglich, die künstlichen Zähne völlig natürlich zu gestalten. Perfekte Zähne, die nicht “gemacht” aussehen. Zu diesem Fachgebiet gehören ergänzend die Diagnostik und Therapie der Kaufunktionsstörungen.

Lust auf schöne Zähne?

Für schöne und gerade Zähne ist es nie zu spät. In der Zahnästhetik ist die Zusammenarbeit zwischen Zahnarzt und Zahntechniker besonders wichtig. Eine natürliche orale Ästhetik kann nur dann erreicht werden, wenn Zahnarzt und Zahntechniker mit den Grundprinzipien der Zahnästhetik und Prothetik bestens vertraut sind und über ein systematisches Therapiekonzept verfügen, das ein hochästhetisches und funktionsgerechtes sowie nachhaltiges Ergebnis gewährleisten kann. Das umfasst alle Behandlungsschritte, von der Anamnese über die Diagnostik und Planung bis zur individuellen Therapie – mundgerecht!

Schöne Zähne sind Ihr schönster Schmuck

Schöne ZähneNeben jahrzehntelangen Erfahrungen mit klassischen Herstellungsmethoden verfügt unser Dental-Labor J. Becker aus Angelbachtal über eine große Expertise für teilweise oder komplett digital hergestellten hochwertigen Premium-Zahnersatz. Dieser hohe Qualitätsanspruch macht unser Meister-Labor als Komplettanbieter für uns auch kieferorthopädisch und implantologisch tätigen Zahnärzte zu einem wichtigen Partner. Präzision für Ihr Wohlbefinden

Perfektion in weiß dank bester Materialien und feinster Handarbeit. Unser Labor-Leistungsspektrum umfasst alles, was die moderne Zahntechnik bieten kann, kombiniert mit erstklassigem Service und fachübergreifendem Support. Wir sind Ihr Partner, der Ihnen mehr bietet als individuell bestmöglich sitzenden, höchst ästhetischen Zahnersatz in Bestzeit.

Premium-Zahntechnik – ein gutes Stück Arbeit

Made-in-GermanyJahrzehntelange Erfahrung und enge Kooperation gewährleisten zuverlässig moderne, hochqualitative auf Biokompatibilität getestete prothetische Arbeiten. Es werden für alle partiellen Prothesen, Kronen, Brücken und bis hin zu Zahnersatz für komplett implantologisch versorgte Kiefer ausschließlich nur zugelassene Medizinprodukte, Materialien und Werkstoffe verarbeitet. Unser Dental-Labor erfüllt alle Anforderungen des Medizinproduktgesetz und sämtliche CE- und ISO-Normen und dokumentiert dies in einem Patienten-Prothetik-Pass, den wir grundsätzlich zu jedem neuen Zahnersatz ausstellen und gewährt auf jegliche zahntechnische Arbeit entsprechend lange Garantien.

Alle Arbeiten “Made in Germany”, denn der günstigste Zahnersatz ist der, der nur einmal gemacht werden muss.

Zusätzlich habe ich die Fortbildungsprogramme “Chirurgische und implantologische Tätigkeit im Spiegel des zahnärztlichen Gutachtens“ und Aufbautrainings zur Befähigung als zahnmedizinischer Sachverständiger und zahnärztlicher Gutachter absolviert.

 

Faire Preise bei voller Leistung

Wir bieten Ihnen zudem flexible Zahlungsmöglichkeiten an. Mit dem herz.service der ZA profitieren Sie von der Möglichkeit einer guten unkomplizierten Teilzahlung: 6 Monate zinsfrei, bis zu 48 Monatsraten, keine versteckten Kosten, Sonderzahlungen kostenlos möglich und qualifizierte Unterstützung bei der Durchsetzung Ihrer Ansprüche gegenüber Beihilfestellen und Versicherern – und das kostenfrei.

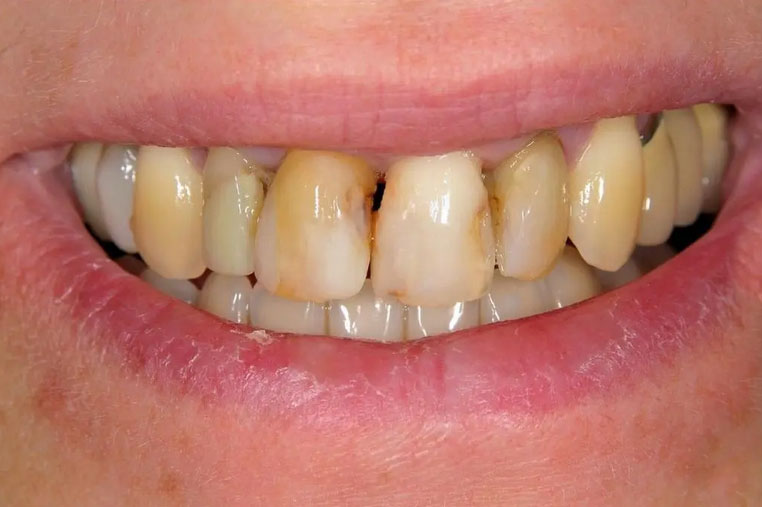
vorher

Vorher

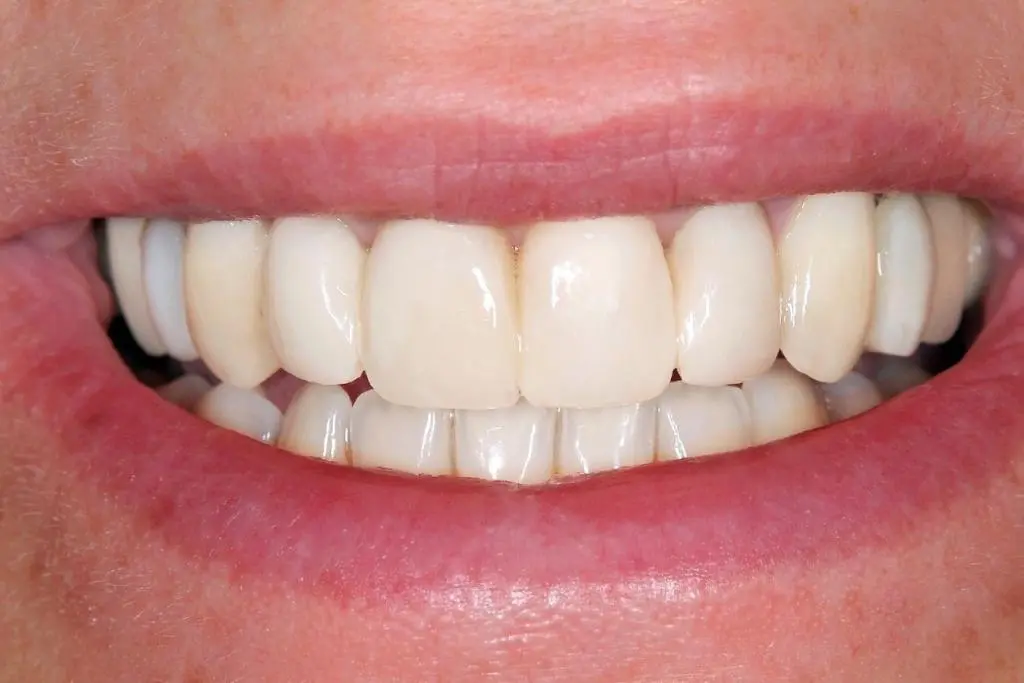
nacher

Nachher

 

 

Schön und gesund in jedem Alter!

TOP 2025
TOP Kinder2025
Zahnarzt
Oral
Schmerz
Implantologe
Ausgezeichnete Praxis
Top Praxis
Stiftung Praxissiegel
Ambassador Praxis Award
Beste Praxis 2023
Arbeitgeber der Zukunft
TOP-Mediziner
Arbeitgeber2025
TOP-Arbeitgeber
Dr.ProBono
Google
Hygieneprädikat
PraxisPLUSAward2024
Praxis Award2024
gala2024
TOP100
Diamand2024
Sieger
Dr.ProBono
TOP-Ärzte2024
TV-Experte
TOP
GalaTOP100
Ärzteliste2024
Spezialisten2024
Ärzteliste2024
dieBesten
BestePraxis
BesterZahnarzt
DrPro
Jameda
Sieger
WerkenntdenBesten
Award2024
TD
Arztrsuche
grüne Praxis
Zertifikat Grüne Praxis
Die Grüne Praxis 2025
Green Dental Award2024
CO2
Hygiene2024
EKG
Arztsuche
Stiftung
Praxis Award 2025/26
Sonderpreis2025
Kinder2024/25
Schmerz2024
Gala2025/2026
FOCUS Gesundheit 2025
Empfg.2025
TOP2025
Geprüfte Website 2025

Gerd Quaty, M. A. – jameda.de

Kontakt

Zahnarztpraxis

Dr. Annabella Stetter & Dr. Dr. med. dent. Dr. phil. Gerd Quaty, M.A.

Georgstraße 16
76684 Östringen

Email: info@z-das.de
Tel. 07253 – 26366

Sie erreichen uns telefonisch:

Mo – Do: 08.00 – 12.00 Uhr, 14.00 – 18.00 Uhr

Fr:            08.00 – 12.00 Uhr

Anmeldebogen

Außerhalb unserer Sprechzeiten wenden Sie sich bitte an den

Zahnärztlichen Notdienst

Sofienstr. 29
69115 Heidelberg
Tel. 06221 – 3544917

oder:

Städtisches Klinikum Karlsruhe, Moltkestraße

Tel.: 0761-12012000