Parodontologie

Ihre zertifizierten Spezialisten für Parodontologie & Moderne Zahnerhaltung

 

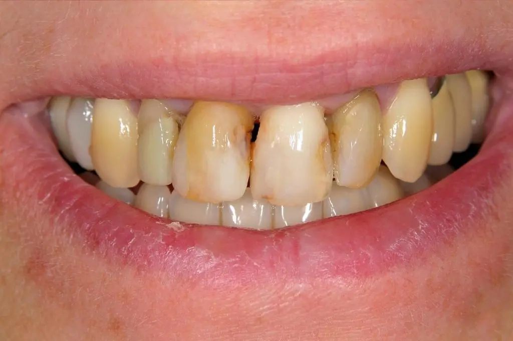
In der Parodontologie steht der Erhalt Ihrer Zähne immer an erster Stelle. Bakterien sind häufig die Ursache für Zahnfleischentzündungen (Gingivitis). Bei dauerhafter Nichtbehandlung kann diese Gingivitis genetisch bedingt zu einer Parodontitis werden. Sie ist eine bakteriell bedingte Entzündung, die sich in einer weitgehend irreversiblen Zerstörung des Zahnhalteapparates zeigt. Diese entzündlichen Vorgänge am Zahnhalteapparat führen dazu, dass letztendlich der zahntragende Knochen immer mehr abgebaut wird und tiefe Knochen- und Zahnfleischtaschen entstehen, die man nicht mehr durch Zähneputzen reinigen kann. Diese entzündliche Krankheit ist meist chronisch und schmerzfrei und wird deshalb häufig viel zu spät wahrgenommen.

Parodontitis – die unterschätzte Gefahr

Dieser Knochenrückgang führt zunächst zur Lockerung der Zähne bis hin zum Zahnverlust vieler Zähne, da es zu Knochentaschen und Taschenabszessen kommt.

Als oft unbemerkte chronische Entzündung schädigen diese Parodontopathien unser gesamtes Gefäßsystem und belasten zudem das Immunsystem.

Das Risiko für Herz-Kreislauferkrankungen (Infarkt, Schlaganfall) ist ebenfalls deutlich erhöht, Stoffwechselerkrankungen wie Diabetes verlaufen signifikant schlechter bei Parodontitis.

Wir haben uns für Ihre Gesundheit spezialisiert

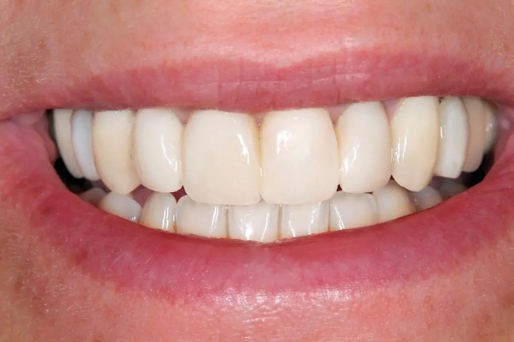
Regelmäßige Fortbildungen und Updates der brandaktuellen Forschung. Eine gezielte Ultraschall- und schmerzfreie laserassistierte Parodontitisbehandlung kann diesem Krankheitsbild frühzeitig entgegenwirken. Laserassistierte PAR-Maßnahmen sind ein wertvolles Werkzeug in der Zahnmedizin mit ausgezeichneten Therapieeffekten und kann die Parodontitis dauerhaft stoppen. Das Verfahren ist schmerzarm und durch die Verwendung unseres Lasers mit niedriger Energie klingt die Entzündung in den Zahnfleischtaschen nach einer Behandlung erfolgreich ab. Eine Zahnfleischbehandlung besser jetzt bevor es zu spät ist! Parodontologie ist ein uns ausgewiesener Tätigkeitsschwerpunkt der Landeszahnärztekammer Baden-Württemberg.

Mundgeruch ade

Mundgeruch (Halitosis) ist ein unangenehmer Geruch in der Ausatemluft. Er entsteht aus Schwefelverbindungen von bakteriellen Zersetzungen von Speiseresten, bei Zahnfleischentzündungen, Karies, Mundtrockenheit und durch Parodontitisbakterien. Nur in seltenen Fällen sind Erkrankungen des Magens dafür verantwortlich. Durch eine gute Diagnose und eine individuelle Spezialbehandlung der Mundhöhle kann unser Prophylaxe-Team die Ursache beheben und Sie entsprechend beraten.

Gesundes Zahnfleisch – gesunder Patient

2017 –  2025 wurde meine Zahnarztpraxis mit dem FOCUS-Siegel „Empfohlener Zahnarzt aus der Region“ und ich als ein führender, ambulant parodontologisch tätiger Zahnarzt und jeweils als empfehlenswerter Parodontologe von der Redaktion von FOCUS-GESUNDHEIT auf Basis einer unabhängigen Erhebung empfohlen und mit Urkunde als Fachpraxis für Parodontologie ausgezeichnet. Darauf sind wir stolz!

Unsere Zertifikate und Auszeichnungen in diesem Bereich

Ausgezeichnete Praxis
Top Praxis
Stiftung Praxissiegel
Ambassador Praxis Award
Beste Praxis 2023
Arbeitgeber der Zukunft
TOP-Mediziner
Arbeitgeber2025
TOP-Arbeitgeber
Dr.ProBono
Google
Hygieneprädikat
PraxisPLUSAward2024
Praxis Award2024
gala2024
TOP100
Diamand2024
Sieger
dieBesten
BestePraxis
BesterZahnarzt
DrPro
Sieger
WerkenntdenBesten
Award2024
TD
grüne Praxis
Zertifikat Grüne Praxis
Die Grüne Praxis 2025
Green Dental Award2024
CO2
Hygiene2024
EKG
Arztsuche
Stiftung
Praxis Award 2025/26
Sonderpreis2025
Gala2025/2026
Geprüfte Website 2025

Gerd Quaty, M. A. – jameda.de

Kontakt

Zahnarztpraxis

Dr. Annabella Stetter & Dr. Dr. med. dent. Dr. phil. Gerd Quaty, M.A.

Georgstraße 16
76684 Östringen

Email: info@z-das.de
Tel. 07253 – 26366

Sie erreichen uns telefonisch:

Mo – Do: 08.00 – 12.00 Uhr, 14.00 – 18.00 Uhr

Fr:            08.00 – 12.00 Uhr

Anmeldebogen

Außerhalb unserer Sprechzeiten wenden Sie sich bitte an den

Zahnärztlichen Notdienst

Sofienstr. 29
69115 Heidelberg
Tel. 06221 – 3544917

oder:

Städtisches Klinikum Karlsruhe, Moltkestraße

Tel.: 0761-12012000